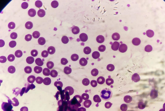
马的血液寄生虫
血液寄生虫是生活在动物宿主血液中的生物体。这些寄生虫的范围从单细胞原生动物到更复杂的细菌和立克次体。传播方式因寄生虫而异,但通常是通过蜱虫或苍蝇的叮咬传播的。
巴贝西虫病
巴贝斯虫病是一种由蜱传播的疾病。它影响各种各样的家畜和野生动物,偶尔也影响人类。马巴贝斯虫病发生在非洲、欧洲、亚洲、南美洲和中美洲以及美国南部。未出生的马驹感染,特别是泰勒虫原生动物,相对常见。
潜伏期约为8至10天。成年马感染的迹象可能包括不愿意移动、食欲不振和发烧。胎儿可能会出现肿胀,绞痛发作也很常见。在小马身上,症状可能更严重,可能包括黄疸、虚弱和粘膜苍白。这种疾病持续约10天,但在最初的24至48小时内可能会死亡。一些马会出现慢性或长期感染,并在初次感染后几年内成为携带者。
巴贝斯虫病可能与其他引起发烧、贫血、红细胞破坏或黄疸的疾病相混淆。因此,应进行实验室检查以确认诊断。治疗通常包括使用一种或多种有效的抗原生动物药物和支持性护理。马身上没有疫苗。通过定期喷洒和检查马来控制蜱虫可以帮助减少传播的机会。
非洲锥虫病
采采蝇是一种有翅膀的小型叮咬蝇,以人类和其他动物的血液为食。它们只发生在撒哈拉以南非洲地区,在那里它们负责传播一组由锥虫属原生动物引起的疾病,这些疾病影响所有家畜。采采蝇仅限于非洲;然而,马蝇和其他叮咬性苍蝇可以在中美洲和南美洲等其他地区传播这种疾病。在马中,刚果锥虫、间日T、猿猴T和布氏T是最有可能引起疾病的锥虫。家畜可能是人类感染的来源,但引起马感染的物种不会感染人类。
疾病的严重程度因感染动物的种类和年龄以及所涉及的锥虫种类而异。潜伏期通常为1至4周。主要症状是可能来来去去的发烧、贫血和体重减轻。在内部,淋巴结和脾脏通常会肿胀。通过实验室检测发现锥虫,诊断得到了证实。
几种药物可用于治疗;然而,大多数药物只有在给予正确剂量的情况下才有效。严格遵循规定的剂量非常重要。一些锥虫对某些药物产生了抗药性,这可能是对药物没有反应的病例的原因。
在采采蝇常见的地区,通过清除采采蝇和使用预防药物可以降低感染风险,这些药物可以阻止感染的开始。通过使用批准在马身上使用的喷雾、在苍蝇繁殖区喷洒杀虫剂、使用涂有杀虫剂的筛网和清理刷子来减少苍蝇的栖息地,可以部分控制苍蝇。在锥虫感染采采蝇数量较多的地区,可以给动物服用预防药物。没有疫苗。
苏拉
苏拉与采采蝇传播的疾病是分开的,因为它通常是由采采蝇区内外的其他叮咬蝇传播的。它发生在北非、中东、亚洲、远东、中美洲和南美洲。它可能是马和骆驼的致命疾病。其他动物的伊氏锥虫似乎不会引起疾病,这些动物是感染源。
该疾病的发展和影响、体征、身体变化、诊断和治疗与采采蝇传播的锥虫相似。
马媾疫
Dourine是一种马的性病,在性交过程中传播。它是由一种名为设备锥虫的锥虫引起的。该病发生在非洲地中海沿岸、中东、南部非洲和南美洲;然而,分布范围可能更广。
症状可能会在几周或几个月内出现,感染可能会变成慢性。早期症状包括公马尿道和母马阴道分泌粘液和脓液,随后生殖器肿胀。后来,皮肤上出现了直径为¾至4英寸的典型鳞状斑块,马变得非常瘦。如果不及时治疗,50%至70%的感染马将死亡。
获得这种疾病的确切证据可能很困难。然而,你的兽医可以进行某些测试,以发现和识别分泌物、皮肤斑块或血液中的锥虫。
在易患这种疾病的地区,马可能会用几种不同的药物进行治疗。当需要从马厩或一组马中完全消除疾病时,严格控制繁殖、对阳性感染马进行安乐死以及消除流浪马都是成功的。
大蒜种植密度
大蒜作为一种重要的经济作物,因独特的风味和丰富的营养价值,主要用于烹饪、医药和保健品等领域。大蒜合理的种植密度不仅能充分利用土地资源,还能确保大蒜植株获得充足的养分、光照和生长空间,从而提高产量和品质。那么,大蒜种植密度是多少呢?下面,将为
· 2025-11-05
招财辟邪花有哪些
以下是一些兼具辟邪和招财寓意的花卉及植物,结合了中国传统文化和风水学的观点:招财:因其名称中的“富贵”象征财富与地位,且竹报平安,寓意吉祥。适合水培或土培,易打理,适合摆放在家中或办公室。辟邪:枝叶常绿,被认为能净化负面能量,带来平安。招财
· 2025-11-05
大闸蟹上市时间段
大闸蟹不仅美味可口,更是营养丰富。作为一种低热量的食物,它能够为减肥者带来饱腹感,减少其他高热量食物的摄入,成为减肥期间的理想选择。那么,您知道大闸蟹上市时间段吗?下面,将为大家详细解答!大闸蟹上市时间段大闸蟹的上市时间段主要集中在6月到
· 2025-11-05
大闸蟹怎么养殖在家里
大闸蟹因鲜美的肉质和丰富的营养价值,成为许多家庭餐桌上的珍馐美味。在家中养殖大闸蟹不仅可以随时享用新鲜的蟹肉,还能带来养殖的乐趣和成就感。那么,大闸蟹怎么养殖在家里呢?下面,将为大家详细解答大闸蟹在家里养殖的方法。大闸蟹怎么养殖在家里1、养
· 2025-11-05
大黄蛉的饲养技巧
大黄蛉是一种常见的鸣虫,因鸣叫声清脆悦耳,深受鸣虫爱好者的喜爱。大黄蛉主要分布在南方地区,其饲养历史悠久,是传统的观赏鸣虫之一。饲养大黄蛉不仅可以享受美妙的鸣叫声,还能体验到饲养鸣虫的乐趣。下面,将为大家详细介绍大黄蛉的饲养技巧。大黄蛉的饲
· 2025-11-05
草鱼的养殖方法和注意事项
草鱼是重要的淡水养殖鱼类之一,因生长迅速、肉质鲜美、营养丰富而备受养殖户和消费者的青睐。草鱼不仅具有较高的经济价值,还能有效控制水体中的水草和藻类生长,对水体生态平衡具有积极作用。下面,将为大家详细介绍草鱼的养殖方法和注意事项。草鱼的养殖方
· 2025-11-05
菠菜怎么种植家里
在家种植菠菜需要关注播种时间、土壤选择、种子处理、播种方法及后期养护等关键环节。以下是综合多个来源的详细指南:菠菜适应性强,四季均可种植,但不同季节需选择对应品种:春菠菜:3月气温稳定在5℃以上时播种。夏菠菜:5-7月种植,需耐热品种。秋菠
· 2025-11-05
金边虎皮兰喜欢什么土质
金边虎皮兰对土壤的要求以疏松透气、排水良好且富含有机质为最佳,以下是具体建议及注意事项:腐叶土+园土+河沙:可按3:2:3的比例混合,腐叶土提供有机质,园土保肥,河沙增强透气性。沙土+腐殖土+园土:比例为2:3:2,适合提升透气性和肥力,需
· 2025-11-05
马的日常保健
除了正确喂养和锻炼你的马外,还需要其他方面的一般护理来保持你的马一生健康。这些包括疫苗接种、寄生虫控制和牙科护理的常规兽医护理;仪容整洁和蹄部护理;以及对元素的保护。兽医护理的重要性成年马应至少每年进行一次全面的兽医检查。老年马应每年两次或
· 2025-11-05
荷花怎么种植家庭
家庭种植荷花需注意容器选择、土壤处理、种植方法及养护管理,具体要点如下:容器要求选择直径30-60厘米、无排水孔的花盆或水缸,底部可铺砖石降低深度(避免水深过大导致根系缺氧)。原生塘泥是最佳选择,可直接挖取荷塘淤泥,富含有机质且透气性好。土
· 2025-11-05


